محتويات

ماذا يعني ضمور المخيخ عند الأطفال؟
يعتبر المخيخ جزءاً من الجهاز العصبي المركزي لدى الإنسان، فهو يقع أسفل الدماغ من جهة الخلف، وهو المسؤول عن تأمين التوازن وتنسيق جميع الحركات التي يقوم به الإنسان، وقد يتعرّض المخيخ في بعض الحالات للضمور، وهو عملية تسبب تلف الخلايا العصبية الموجودة في المخيخ.[١]
ومن الجدير بالذكر بأنّ حالات ضمور المخيخ يُمكن أن تؤثر على مناطق أخرى من الجهاز العصبي المركزي، بما في ذلك الحبل الشوكي، والنخاع المستطيل، والقشرة الدماغية بالإضافة إلى جذع الدماغ.[١]
ما هي أسباب الإصابة بضمور المخيخ عند الأطفال؟
يُمكن أن ينتج ضمور المخيخ لدى الأطفال في بعض الحالات بسبب حدوث طفرات جينية موروثة، بحيثُ تؤدي إلى تغير الإنتاج الطبيعي لبروتينات معينة ضرورية لصحة الخلايا العصبية، امذا في حالاتٍ أخرى قد يكون ضمور المخيخ مُكتسب أي يحدث نتيجة حالةٍ صحيةٍ أخرى، مثل متلازمة الأباعد الورمية للجهاز العصبي (Paraneoplastic syndromes of the nervous system)، حيث ينتج الورم الخبيث في أجزاء أخرى من الجسم مواد تجعل خلايا الجهاز المناعي تهاجم الخلايا العصبية في المخيخ.[١]
ومن الأسباب الشائعة الأخرى لضمور المخيخ عند الأطفال ما يأتي:[٢]
- إصابات الدماغ.
- السكتات الدماغية.
- التصلب المتعدد.
ما هي أعراض ضمور المخيخ عند الأطفال؟
فيما يأتي بيان للأعراض السريرية الأولية لضمور المخيخ عند الأطفال:
- تأخر النمو.[٣]
- النوبات التشنجية.[٣]
- مشاكل في الرؤية.[٣]
- الرنح وهو عبارة عن ضعف التحكم في العضلات.[٣]
- فقدان السمع.[٣]
- الاعتلال العضلي.[٣]
- اعتلال عضلة القلب.[٣]
- بطء الحركة.[١]
- الرأرأة، وهي مشكلة صحية تثؤثر على العينين مسببة حركات متتالية وسريعة ولا إرادية فيها.[١]
- اختلال التوازن أثناء المشي ممّا ينتج عنه كثرة السقوط.[١]
- صعوبة في الابتلاع.[١]
- التحدث بطريقة غريبة غير واضحة.[١]
كيف يتم تشخيص ضمور المخيخ لدى الأطفال؟
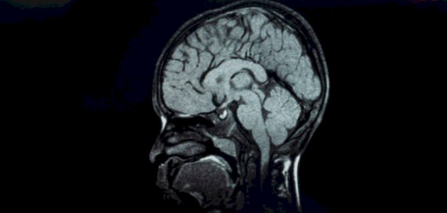
يُعد التصوير بالرنين المغناطيسي للدماغ (MRI) أحد الطُرق الرئيسية لتشخيص ضمور المخيخ، تليه الاختبارات خزعة العضل، ودراسة الجهاز العصبي المحيطي للطفل المُصاب،[٤] كما قد يوصي الطبيب بفحوصات أخرى تتضمن ما يأتي:
- التحقق من العمليات الأيضية.[٤]
- إجراء فحص الجهد المحرض أو الاستجابة المستثارة (Evoked potentials).[٤]
- فحوصات الدم، والتي يُمكن أن تكشف عن بعض الأجسام المضادة التي يُنتجها الجهاز المناعي لمحاربة الأمراض.[٥]
- الاختبارات الجينية.[٥]
هل يُمكن علاج ضمور المخيخ عند الأطفال؟
لم يتمّ التوصل إلى أي علاج لضمور المخيخ الذي يحدث نتيجات الطفرات الجينية الموروثة، وعادة ما يكون العلاج في هذه الحالة داعمًا ويُساهم في التخفيف من الأعراض لمنع حدوث مضاعفات،[١] ومن الأمثلة على الخيارات العلاجية:
- يمكن وصف الأدوية لتخفيف تشوهات المشي.[١]
- العلاج الداعم، مثل العلاج الطبيعي أو المهني أو علاج النطق، حيثُ يُمكن أن تُساعد هذه العلاجات على تحسين بعض المهارات مثل:[٥]
- المهارات الحركية حتى يتمكن الطفل من أداء الأنشطة اليومية.
- قوة العضلات وتنسيقها.
- مهارات البلع والتحدث واللغة.
المراجع
- ^ أ ب ت ث ج ح خ د ذ ر "Cerebellar Degeneration", childneurologyfoundation, Retrieved 4/10/2022. Edited.
- ↑ "Cerebellar atrophy", senexpertsolicitors, Retrieved 4/10/2022. Edited.
- ^ أ ب ت ث ج ح خ "Diagnostic Approach to Childhood-onset Cerebellar Atrophy: A 10-Year Retrospective Study of 300 Patients", ncbi, Retrieved 4/10/2022. Edited.
- ^ أ ب ت "A Clinical-Based Diagnostic Approach to Cerebellar Atrophy in Children", mdpi, Retrieved 4/10/2022. Edited.
- ^ أ ب ت "Cerebellar Degeneration", clevelandclinic, Retrieved 4/10/2022. Edited.