محتويات

تسوس الأسنان
يعتبر تسوّس الأسنان من المشاكل الشائعة بين الناس، لا سيّما مع ازدياد تناول السكاكر والحلويات بمختلف أنواعها، فإذا لم يتّبع كل فرد سبل العناية الصحيحة بالأسنان فإنّها ستكون عرضة لحدوث التسوّس، حيث تتخرّب بنية الأسنان المتسوّسة، فتصاب بالتعفّن الذي يمكن أن يتطور تدريجياً إلى ثقوب صغيرة أو كبيرة بصورة تدريجيّة، وقد يتطوّر ضعف السنّ في حال لم تتمّ معالجته فور إصابته، ويكون علاجه في الغالب عن طريق إزالة الجزء التالف، واستبداله بحشوة صناعيّة، وممّا تجدر الإشارة إليه أنّها تشكّل حلّاً مثالياً في حالة الأسنان المتهتّكة أو المتشقّقة أيضاً.
أنواع حشوات الأسنان
- حشوة الذهب: تمتاز بقدرتها على الصمود لمدّة تتراوح بين عشر إلى خمس عشرة سنة دون أن تصدأ أو تتلف.
- حشوة الفضّة الأملجم: تمتاز بقوّتها وصلابتها، وبتكلفتها القليلة مقارنة بحشوات تركيبيّة أخرى.
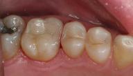
- حشوة بيضاء: تمتاز بلونها القريب والمشابه للأسنان؛ لذا فهي جيّدة لحشو الأسنان الواقعة في الأجزاء الظاهرة من الأسنان.
- حشوة السيراميك: تتكوّن أغلبها من مادّة البورسلين، وتمتاز بمقاومتها للصبغة على نحو أكبر من تركيبات الراتنج، كما تظلّ هذه الحشوة لأكثر من خمس عشرة سنة.
- حشوات أخرى: حشوة زجاجيّة تدعى بحشوة الراتنج المركب، وحشوة البورسلين.
أسس اختيار نوع حشوة السن
- موقع السنّ المسوّس.
- مدى امتداد التسوّس.
- تكلفة المادة المراد حشو السنّ.
- راحة المريض للمادة المراد حشو السن بها.
الأسباب المؤدية لسقوط حشوة الأسنان وتكسرها
- سوء نوعية الحشوة.
- عدم تثبيت الحشوة جيّداً لعدم توفر خبرة كافية عند الطبيب.
- عدم التزام المريض بتعليمات الطبيب بعد إنهاء تركيب الحشوة، كتناوله الطعام قبل مرور ساعتين على تركيبها.
حشوات الأسنان المؤقتة
هي حشوات يركّبها طبيب الأسنان لمدّة قصير لا تتجاوز الشهر، يستخدمها الطبيب في الحالات الطارئة، قبل تركيب الحشوات التي تحتاج أكثر من جلسة ليتمّ تركيبها، كحشوة الذهب، كما تستخدم في علاج العصب قبل وضع الحشوة الدائمة.
نصائح هامة لحماية حشو الأسنان من سقوطه
- المتابعة مع طبيب الأسنان كي يقوم بجلسات لتنظيف الأسنان.
- تنظيف الأسنان بالفرشاة والمعجون ذي النوعيّة الممتازة والمحتوي على مادة الفلورايد مرّتين كلّ يوم.
- استخدام الخيط الطبي للتخلّص من بقايا الأطعمة العالقة بين الأسنان.
- مراجعة الطبيب في حال سقطت حشوة سنّ، أو حدث فيها أيّ كسر، أو ألم.
خطوات حشو الأسنان
- يخدّر الطبيب المنطقة التي تحيط بالسنّ.
- يحفر الطبيب السن فيزيل الجزء المصاب بالتسوّس بشكل كامل.
- ينظّف الطبيب التجويف جيّداً من البكتيريا، أو أيّة بقايا، ثمّ يحشوها بالحشوة المناسبة.
- يصقل الطبيب الحشوة ويلمّعها.