محتويات

ضرس العقل
يبلغ عدد الأسنان في فم الشخص البالغ اثنين وثلاثين سناً وضرساً، وفي كل ناحية توجد ثمانية أسنان علوية، وثمانية أسنان سفلية، وتتوزع كل ثمانية أسنان بقاطعين وناب واحد، واثنين من الضواحك، وثلاثة أضراس، أما ضرس العقل فهو الضرس الثالث بعد الضواحك، وهو الضرس الثالث والأخير في ترتيب الفك العلوي والسفلي، وسمي بهذا الاسم بسبب ظهوره في الفترة ما بين السابعة عشرة والحادية والعشرين، أي في سن الرشد والعقل، إلا أنه عندما يظهر ضرس العقل بصورةٍ صحيحة ومكان سليم، فإنه لا يؤدي إلى مشاكل أو ألم في الفم.
حالات ظهور ضرس العقل
- نمو ضرس العقل بصورةٍ طبيعية نتيجة وجود مسافة مناسبة لظهوره.
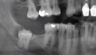
- نمو ضرس العقل بالطمر لعدم توفر مسافة كافية لظهوره، ويكون إما بشكلٍ مائل أو عامودي أو أفقي.
- أن يكون الضرس منطمراً تماماً، بحيث لا يظهر نهائياً في الفم.
- أن ينطمر الضرس بشكلٍ جزئي، إذ يظهر جزءاً من تاج الضرس في الفم، والجزء الآخر ينطمر داخل اللثة.
الأعراض الناتجة عن ظهور ضرس العقل
لا يتسبب ظهور ضرس العقل أية مشاكل في أغلب الأحيان، إلا أن هناك بعض الأعراض تظهر على الإنسان تضطره إلى خلع الضرس، وهي:
- تشنجات بالفك القريب من ضرس العقل.
- التضييق على الأسنان الباقية.
- إصابة السن بالتسوس أو أمراض اللثة، بسبب ضيق الموقع الذي ظهر فيه ضرس العقل، لدرجة عدم وصول فرشاة الأسنان إلى الضرس وتنظيفه بصورة كاملة.
- التهاب اللثة الذي يغمر الضرس، بسبب عدم ظهوره بشكلٍ كامل.
- آلام في الفم نتيجة ظهور ضرس العقل بطريقة غير طبيعية على شكل زاوية، بحيث يحتك مع السطح الداخلي للفم، أو اللسان.
- ملاحظة: أثبتت الدراسات أن المشاكل المتعلقة بالضرس تكون واضحة عند من تتراوح أعمارهم بين 15-25 عاماً، وأنّ من يتجاوزون الثلاثين لا يعانون من مشاكل تستدعي خلع ضرس العقل.
أعراض ظهور ضرس العقل
- يشبه في أعراضه أعراض ظهور أي ضرس آخر، ولكن عند ظهوره بشكلٍ طبيعي.
- الشعور بألم عند وجود التهاب في اللثة في موقع ظهور ضرص العقل أو في زاوية الفك؛ كالصداع، مع عدم فتح الفم أو تحريك الفك بسهولة، والتهاب العقد اللمفاوية، والبلع في غاية الصعوبة، وتورم في الخد.
علاج مشكلات ضرس العقل
يفضل الكثير من الأطباء التخلص من ضرس العقل إذا أثّر بصورةٍ سلبية على بقية الأسنان، ويكون خلعه أسهل قبل عمر العشرين عاماً، أي في الفترة التي يكون عظم الفك والسن غير مكتمل النمو، أما إذا لم يؤثر ضرس العقل على الأسنان فلا ينصح الأطباء بخلعه، بل يكون مدعماً لبقية الأسنان الأخرى.