
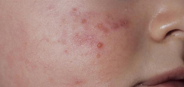
ظهور الحبوب على وجه الرضع
يعتبر ظهور الحبوب على وجه الرضّع من الحالات الشائعة، التي يعاني منها العديد من الأطفال بعد الولادة مباشرةً، أو في الأسبوع الثالث أو الرابع بعد الولادة، وغالباً ما تختفي بعد بلوغه شهراً من العمر أو شهرين، وفي بعض الحالات قد تستمرّ لسبعة أشهر حدّاً أقصى، وقد تظهر على شكل حبوب حمراء صغيرة، أو حبوب لها رؤوس بيضاء تشبه حبّ الشباب، كما تظهر الحبوب على وجه الذكور من الرضّع بنسبة أكبر من الإناث.
أسباب ظهور الحبوب على وجه الرضع
- التغيّرات الهرمونيّة التي تحدث خلال فترة الحمل.
- انتقال بعض الهرمونات من الأمّ إلى الطفل أثناء الرضاعة الطبيعيّة.
- وجود مشاكل هرمونيّة عند الرضيع -وهي حالات نادرة-.
- تناول الأم أنواعاً معيّنة من الأدوية خلال فترة الحمل.
- عدم اكتمال المسامات الموجودة على بشرة الطفل.
- الإصابة بالأكزيما، وظهور طفح جلدي على جلد الرضيع.
الوقاية من الحبوب وعلاجها
تعتبر الحبوب من الحالات الطبيعيّة التي غالباً ما تختفي من تلقاء نفسها بعد الشهر السادس من الولادة، كما يمكن عمل كمّادات من الماء الدافئ؛ للتخفيف من احمرارها، وفيما يلي بعض الطرق التي يمكن اتّخاذها لتفادي ظهور الحبوب بشكل أكبر على الوجه:
- تجنّب استخدام الزيوت أو الكريمات.
- تجنّب استخدام الأدوية القابضة، أو الموضعية القويّة دون استشارة الطبيب.
- تجنّب فرك بشرة الطفل أثناء الاستحمام، واستخدام صابون معتدل مناسب للأطفال.
- تجنّب تحميم الطفل بشكل زائد عن الحاجة، والاكتفاء بمسح البشرة بالماء الدافئ فقط مرّة إلى مرّتين يوميّاً، وتجفيفها بلطف.
- تجنّب الضغط على الحبوب أو عصرها.
- تجنّب استخدام المناديل المبلّلة المعطّرة.
- المحافظة على جفاف وجه الرضيع بعد الرضاعة، ومسح الإفرازات اللعابيّة في حال خروجها على وجنتيه.
- التقليل من تناول السكّريات والموالح في حال إرضاع الطفل رضاعة طبيعية؛ حيث أثبتت العديد من الدراسات ارتباط هذه المأكولات بزيادة ظهور الحبوب على وجه الرضيع.
- الحرص على قصّ أظافر الرضيع؛ حتى لا يخدش بشرته في حال حك الحبوب.
- تخفيف ملابس الطفل عند ارتفاع درجات الحرارة؛ لأنّ الحرارة العالية تؤثّر سلباً على حالة الحبوب.
- غسل ملابس الطفل بالماء، وتجنّب غسلها بالصابون الذي يزيد الحساسيّة.
- عدم استخدام الملابس الصوفيّة أو الحرير، أو التي تحتوي على نايلون في مكوّناتها؛ لأنّها تزيد الحساسيّة، والاكتفاء باستخدام الملابس القطنيّة للرضيع.
- تنبيه: في حال عدم وجود أيّ تحسّن ملحوظ في حالة الرضيع، وانتشار الحبوب بشكل أكثر، ينصح حينها باستشارة الطبيب لتقديم العلاج المناسب، حيث يصف الطبيب أنواعاً معيّنة من المراهم التي تخفّف حدّة الاحمرار والحكّة.